-->

Bidhævning er en behandling, der bruges til at genopbygge tændernes højde og skabe bedre balance i dit bid. Når tænderne er slidte, kan det føre til spændinger i kæben, ømhed eller udfordringer med at tygge normalt. Ved en bidhævning tilpasses behandlingen individuelt, så både funktion og æstetik hænger sammen. Vi arbejder med skånsomme metoder, hvor der tages højde for dine tænder, dit bid og dine behov. Målet er at skabe en løsning, der føles naturlig i hverdagen og giver en mere stabil og behagelig mundfunktion.
Bidhævning er en behandling, der bruges til at genopbygge tændernes højde og skabe bedre balance i dit bid. Når tænderne er slidte, kan det føre til spændinger i kæben, ømhed eller udfordringer med at tygge normalt. Ved en bidhævning tilpasses behandlingen individuelt, så både funktion og æstetik hænger sammen. Vi arbejder med skånsomme metoder, hvor der tages højde for dine tænder, dit bid og dine behov. Målet er at skabe en løsning, der føles naturlig i hverdagen og giver en mere stabil og behagelig mundfunktion.
Bidhævning er en behandling, der bruges til at genopbygge tændernes højde og skabe bedre balance i dit bid. Når tænderne er slidte, kan det føre til spændinger i kæben, ømhed eller udfordringer med at tygge normalt. Ved en bidhævning tilpasses behandlingen individuelt, så både funktion og æstetik hænger sammen. Vi arbejder med skånsomme metoder, hvor der tages højde for dine tænder, dit bid og dine behov. Målet er at skabe en løsning, der føles naturlig i hverdagen og giver en mere stabil og behagelig mundfunktion.
Bidhævning er en behandling, der bruges til at genopbygge tændernes højde og skabe bedre balance i dit bid. Når tænderne er slidte, kan det føre til spændinger i kæben, ømhed eller udfordringer med at tygge normalt. Ved en bidhævning tilpasses behandlingen individuelt, så både funktion og æstetik hænger sammen. Vi arbejder med skånsomme metoder, hvor der tages højde for dine tænder, dit bid og dine behov. Målet er at skabe en løsning, der føles naturlig i hverdagen og giver en mere stabil og behagelig mundfunktion.
Bidhævning er en behandling, der bruges til at genopbygge tændernes højde og skabe bedre balance i dit bid. Når tænderne er slidte, kan det føre til spændinger i kæben, ømhed eller udfordringer med at tygge normalt. Ved en bidhævning tilpasses behandlingen individuelt, så både funktion og æstetik hænger sammen. Vi arbejder med skånsomme metoder, hvor der tages højde for dine tænder, dit bid og dine behov. Målet er at skabe en løsning, der føles naturlig i hverdagen og giver en mere stabil og behagelig mundfunktion.
Bidhævning er en behandling, der bruges til at genopbygge tændernes højde og skabe bedre balance i dit bid. Når tænderne er slidte, kan det føre til spændinger i kæben, ømhed eller udfordringer med at tygge normalt. Ved en bidhævning tilpasses behandlingen individuelt, så både funktion og æstetik hænger sammen. Vi arbejder med skånsomme metoder, hvor der tages højde for dine tænder, dit bid og dine behov. Målet er at skabe en løsning, der føles naturlig i hverdagen og giver en mere stabil og behagelig mundfunktion.
Bidhævning er en behandling, der har til formål at genskabe eller forbedre højden på tænderne og dermed forbedre bidfunktionen. Behandlingen udføres ofte for at løse problemer som slidte tænder, uhensigtsmæssigt bid, kæbesmerter eller æstetiske udfordringer. Ved at hæve biddet kan man:
Behandlingen indebærer, at der påføres plast eller tandkroner på tænderne for at genskabe den ønskede bidhøjde og balance i mund og kæbe.

Bidhævning er en behandling, der har til formål at genskabe eller forbedre højden på tænderne og dermed forbedre bidfunktionen. Behandlingen udføres ofte for at løse problemer som slidte tænder, uhensigtsmæssigt bid, kæbesmerter eller æstetiske udfordringer. Ved at hæve biddet kan man:
Behandlingen indebærer, at der påføres plast eller tandkroner på tænderne for at genskabe den ønskede bidhøjde og balance i mund og kæbe.

Bidhævning er en behandling, der har til formål at genskabe eller forbedre højden på tænderne og dermed forbedre bidfunktionen. Behandlingen udføres ofte for at løse problemer som slidte tænder, uhensigtsmæssigt bid, kæbesmerter eller æstetiske udfordringer. Ved at hæve biddet kan man:
Behandlingen indebærer, at der påføres plast eller tandkroner på tænderne for at genskabe den ønskede bidhøjde og balance i mund og kæbe.
Bidhævning er en behandling, der har til formål at genskabe eller forbedre højden på tænderne og dermed forbedre bidfunktionen. Behandlingen udføres ofte for at løse problemer som slidte tænder, uhensigtsmæssigt bid, kæbesmerter eller æstetiske udfordringer. Ved at hæve biddet kan man:
Behandlingen indebærer, at der påføres plast eller tandkroner på tænderne for at genskabe den ønskede bidhøjde og balance i mund og kæbe.
Bidhævning er en behandling, der har til formål at genskabe eller forbedre højden på tænderne og dermed forbedre bidfunktionen. Behandlingen udføres ofte for at løse problemer som slidte tænder, uhensigtsmæssigt bid, kæbesmerter eller æstetiske udfordringer. Ved at hæve biddet kan man:
Behandlingen indebærer, at der påføres plast eller tandkroner på tænderne for at genskabe den ønskede bidhøjde og balance i mund og kæbe.
Bidhævning er en behandling, der har til formål at genskabe eller forbedre højden på tænderne og dermed forbedre bidfunktionen. Behandlingen udføres ofte for at løse problemer som slidte tænder, uhensigtsmæssigt bid, kæbesmerter eller æstetiske udfordringer. Ved at hæve biddet kan man:
Behandlingen indebærer, at der påføres plast eller tandkroner på tænderne for at genskabe den ønskede bidhøjde og balance i mund og kæbe.
Mulighed for afbetaling

Udført af erfarne tandlæger

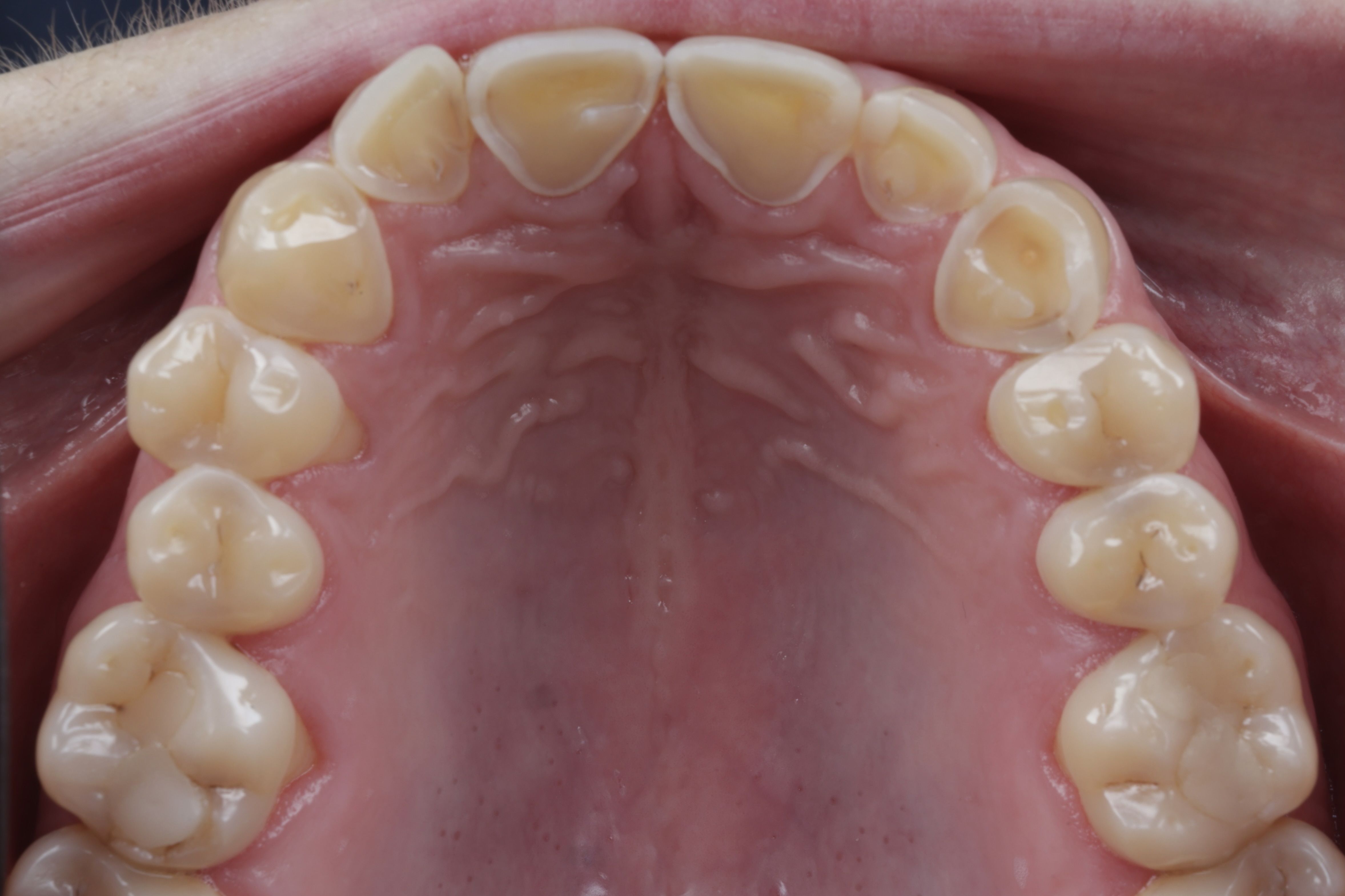
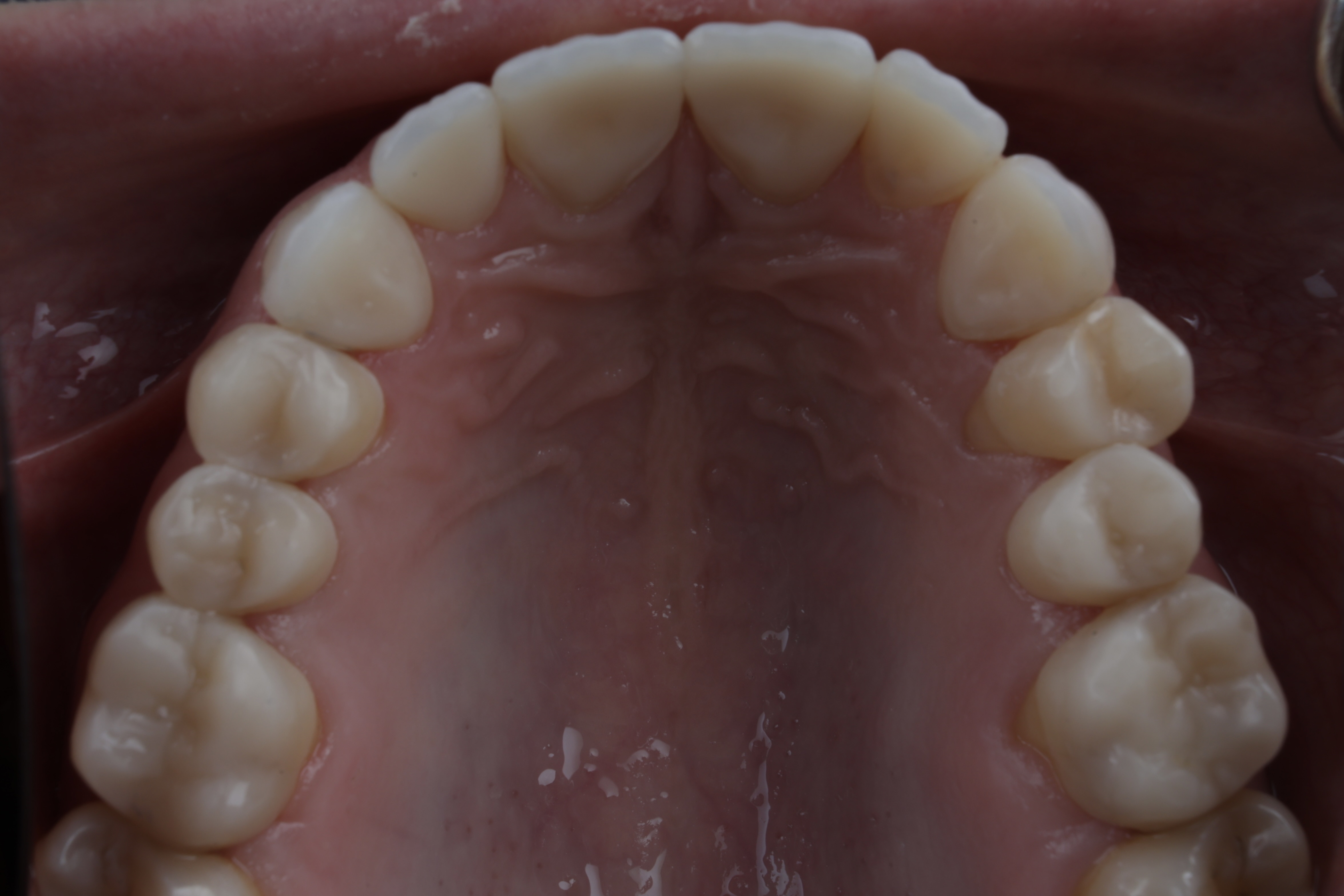
Bidhævning handler om at genskabe tændernes oprindelige højde og funktion ved at opbygge tænderne med materialer, der både er holdbare og ligner ens naturlige tænder. Opbygningen kan ske ved hjælp af tandkroner, der fungerer som en beskyttende "hætte" over tænderne, eller med plastfyldninger, alt afhængigt af behovet.
Hos Sehested Tandlægerne prioriterer vi både funktionalitet og æstetik, så resultatet bliver naturligt og smukt. En bidhævningsbehandling kan være omfattende, da det ofte kræver behandling af flere tænder for at sikre en optimal balance og bidfunktion.

Først vil vi se dig til en konsultation, hvor vi vil vurdere, om bidhævning er den rette behandling for dig. Det kræver en grundig undersøgelse og analyse af dit tandsæt, så vi kan udarbejde en skræddersyet behandlingsplan. Du vil også få et overslag på behandlingen. Hvis der er tale om omfattende tandslid eller behov for en større genopbygning af tandsættet, vil behandlingsplanen blive udarbejdet i tæt samarbejde med tandteknikere og specialtandlæger.

Hvis du ønsker at påbegynde behandlingen, vil du modtage et informeret samtykke, hvor vi gennemgår behandlingen og alle relevante detaljer, herunder pris. Du kan også få lov til at se en simuleret udgave af dit smil før og efter, hvis du ønsker det.

Behandlingen gennemføres normalt over 1-2 dage, og der vil være opfølgende kontrolbesøg de følgende måneder. Når biddet er stabilt og komfortabelt, kan eventuelle tandkroner, tandbroer eller tandimplantater færdiggøres.
Behandlingen afsluttes med en bideskinne (bidskinne), som beskytter dit genopbyggede tandsæt. Hvis du også ønsker tandblegning, bør den udføres mindst en måned før behandlingen påbegyndes.
Først vil vi se dig til en konsultation, hvor vi vil vurdere, om bidhævning er den rette behandling for dig. Det kræver en grundig undersøgelse og analyse af dit tandsæt, så vi kan udarbejde en skræddersyet behandlingsplan. Du vil også få et overslag på behandlingen. Hvis der er tale om omfattende tandslid eller behov for en større genopbygning af tandsættet, vil behandlingsplanen blive udarbejdet i tæt samarbejde med tandteknikere og specialtandlæger.
Hvis du ønsker at påbegynde behandlingen, vil du modtage et informeret samtykke, hvor vi gennemgår behandlingen og alle relevante detaljer, herunder pris. Du kan også få lov til at se en simuleret udgave af dit smil før og efter, hvis du ønsker det.
Behandlingen gennemføres normalt over 1-2 dage, og der vil være opfølgende kontrolbesøg de følgende måneder. Når biddet er stabilt og komfortabelt, kan eventuelle tandkroner, tandbroer eller tandimplantater færdiggøres.
Behandlingen afsluttes med en bideskinne (bidskinne), som beskytter dit genopbyggede tandsæt. Hvis du også ønsker tandblegning, bør den udføres mindst en måned før behandlingen påbegyndes.
Bidhævning er en højt specialiseret behandling, der kræver både særlig uddannelse og stor erfaring. Hos Sehested Tandlægerne er vores tandlæge, Mette Husum Krarup, ansvarlig for denne type behandling. Med over 15 års erfaring har Mette dedikeret en betydelig del af sit arbejdsliv til at hjælpe patienter med rekonstruktion af tænder og behandling af bidfunktionelle problemer samt tandslid.
Hos os får du ikke bare en behandling – du får en skræddersyet løsning, der tager højde for både funktion og æstetik. Vi prioriterer din tryghed og garanterer en behandling af højeste kvalitet.
%20copy_1.webp)
Bidhævning er en højt specialiseret behandling, der kræver både særlig uddannelse og stor erfaring. Hos Sehested Tandlægerne er vores tandlæge, Mette Husum Krarup, ansvarlig for denne type behandling. Med over 15 års erfaring har Mette dedikeret en betydelig del af sit arbejdsliv til at hjælpe patienter med rekonstruktion af tænder og behandling af bidfunktionelle problemer samt tandslid.
Hos os får du ikke bare en behandling – du får en skræddersyet løsning, der tager højde for både funktion og æstetik. Vi prioriterer din tryghed og garanterer en behandling af højeste kvalitet.
%20copy_1.webp)
Bidhævning er en højt specialiseret behandling, der kræver både særlig uddannelse og stor erfaring. Hos Sehested Tandlægerne er vores tandlæge, Mette Husum Krarup, ansvarlig for denne type behandling. Med over 15 års erfaring har Mette dedikeret en betydelig del af sit arbejdsliv til at hjælpe patienter med rekonstruktion af tænder og behandling af bidfunktionelle problemer samt tandslid.
Hos os får du ikke bare en behandling – du får en skræddersyet løsning, der tager højde for både funktion og æstetik. Vi prioriterer din tryghed og garanterer en behandling af højeste kvalitet.
Bidhævning er en højt specialiseret behandling, der kræver både særlig uddannelse og stor erfaring. Hos Sehested Tandlægerne er vores tandlæge, Mette Husum Krarup, ansvarlig for denne type behandling. Med over 15 års erfaring har Mette dedikeret en betydelig del af sit arbejdsliv til at hjælpe patienter med rekonstruktion af tænder og behandling af bidfunktionelle problemer samt tandslid.
Hos os får du ikke bare en behandling – du får en skræddersyet løsning, der tager højde for både funktion og æstetik. Vi prioriterer din tryghed og garanterer en behandling af højeste kvalitet.
Bidhævning er en højt specialiseret behandling, der kræver både særlig uddannelse og stor erfaring. Hos Sehested Tandlægerne er vores tandlæge, Mette Husum Krarup, ansvarlig for denne type behandling. Med over 15 års erfaring har Mette dedikeret en betydelig del af sit arbejdsliv til at hjælpe patienter med rekonstruktion af tænder og behandling af bidfunktionelle problemer samt tandslid.
Hos os får du ikke bare en behandling – du får en skræddersyet løsning, der tager højde for både funktion og æstetik. Vi prioriterer din tryghed og garanterer en behandling af højeste kvalitet.
Bidhævning er en højt specialiseret behandling, der kræver både særlig uddannelse og stor erfaring. Hos Sehested Tandlægerne er vores tandlæge, Mette Husum Krarup, ansvarlig for denne type behandling. Med over 15 års erfaring har Mette dedikeret en betydelig del af sit arbejdsliv til at hjælpe patienter med rekonstruktion af tænder og behandling af bidfunktionelle problemer samt tandslid.
Hos os får du ikke bare en behandling – du får en skræddersyet løsning, der tager højde for både funktion og æstetik. Vi prioriterer din tryghed og garanterer en behandling af højeste kvalitet.
Vi tilbyder bidhævning på vores klinikker på Frederiksberg, Østerbro og i København K (ILLUM), så du nemt kan vælge den lokation, der passer dig bedst. Uanset hvor du bliver behandlet, tager vi udgangspunkt i dit bid og dine behov for at skabe en stabil og komfortabel løsning. Med flere klinikker er det nemt at komme i gang tæt på dig.
Vi tilbyder bidhævning på vores klinikker på Frederiksberg, Østerbro og i København K (ILLUM), så du nemt kan vælge den lokation, der passer dig bedst. Uanset hvor du bliver behandlet, tager vi udgangspunkt i dit bid og dine behov for at skabe en stabil og komfortabel løsning. Med flere klinikker er det nemt at komme i gang tæt på dig.
Vi tilbyder bidhævning på vores klinikker på Frederiksberg, Østerbro og i København K (ILLUM), så du nemt kan vælge den lokation, der passer dig bedst. Uanset hvor du bliver behandlet, tager vi udgangspunkt i dit bid og dine behov for at skabe en stabil og komfortabel løsning. Med flere klinikker er det nemt at komme i gang tæt på dig.
Vi tilbyder bidhævning på vores klinikker på Frederiksberg, Østerbro og i København K (ILLUM), så du nemt kan vælge den lokation, der passer dig bedst. Uanset hvor du bliver behandlet, tager vi udgangspunkt i dit bid og dine behov for at skabe en stabil og komfortabel løsning. Med flere klinikker er det nemt at komme i gang tæt på dig.
Vi tilbyder bidhævning på vores klinikker på Frederiksberg, Østerbro og i København K (ILLUM), så du nemt kan vælge den lokation, der passer dig bedst. Uanset hvor du bliver behandlet, tager vi udgangspunkt i dit bid og dine behov for at skabe en stabil og komfortabel løsning. Med flere klinikker er det nemt at komme i gang tæt på dig.
Vi tilbyder bidhævning på vores klinikker på Frederiksberg, Østerbro og i København K (ILLUM), så du nemt kan vælge den lokation, der passer dig bedst. Uanset hvor du bliver behandlet, tager vi udgangspunkt i dit bid og dine behov for at skabe en stabil og komfortabel løsning. Med flere klinikker er det nemt at komme i gang tæt på dig.

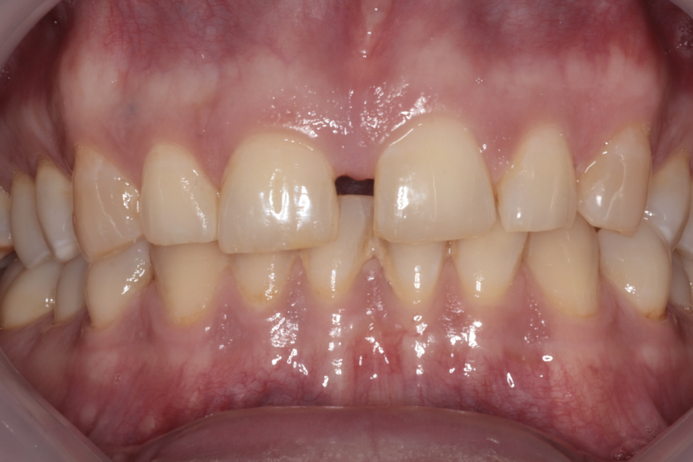
Bidhævning er en behandling, hvor man øger højden på dit bid – altså afstanden mellem over- og underkæbe. Det gøres typisk ved at opbygge tænderne, så funktion og balance i munden genskabes.
Bidhævning er relevant, hvis tænderne er slidte, forkortede eller har ændret form over tid. Det ses ofte ved:
Et lavt bid kan give forskellige gener, f.eks.:
Behandlingen er som regel skånsom og foregår uden større ubehag. I starten kan det føles anderledes at bide sammen, men de fleste vænner sig hurtigt til det.
Det afhænger af omfanget. Mindre justeringer kan klares relativt hurtigt, mens større behandlinger kan strække sig over flere besøg.
Ja, formålet er at skabe en varig forbedring af både funktion og æstetik. Dog kan vedligeholdelse og justering være nødvendig over tid.
Bidhævning udføres typisk med:
Valget afhænger af, hvor omfattende behandlingen er.
Ja, udover at forbedre funktionen kan bidhævning også give et mere harmonisk smil og pænere smil, hvis tænderne er meget slidte.
De fleste kan, men det kræver en grundig vurdering af tænder, bid og kæbe. Behandlingen tilpasses altid individuelt.
Som ved alle behandlinger kan der være en tilvænningsperiode. Det er vigtigt, at behandlingen planlægges nøje, så biddet bliver stabilt og komfortabelt.
God mundhygiejne og regelmæssige kontroller er vigtige. Hvis du skærer tænder, kan en bideskinne (bidskinne) være nødvendig for at sikre, at resultatet holder.
Prisen afhænger af, hvor omfattende behandlingen er, og hvilke materialer der bruges. Du får altid en individuel plan og pris, før behandlingen går i gang.

Vi inviterer til en eksklusiv aften i klinikken, hvor vi fortæller om mulighederne inden for kosmetisk plast, bidhævning og Invisalign – og hvad der faktisk giver mening, hvis man gerne vil forbedre sit smil.
Læs mere og udfyld formularen her for tilmelding.