-->


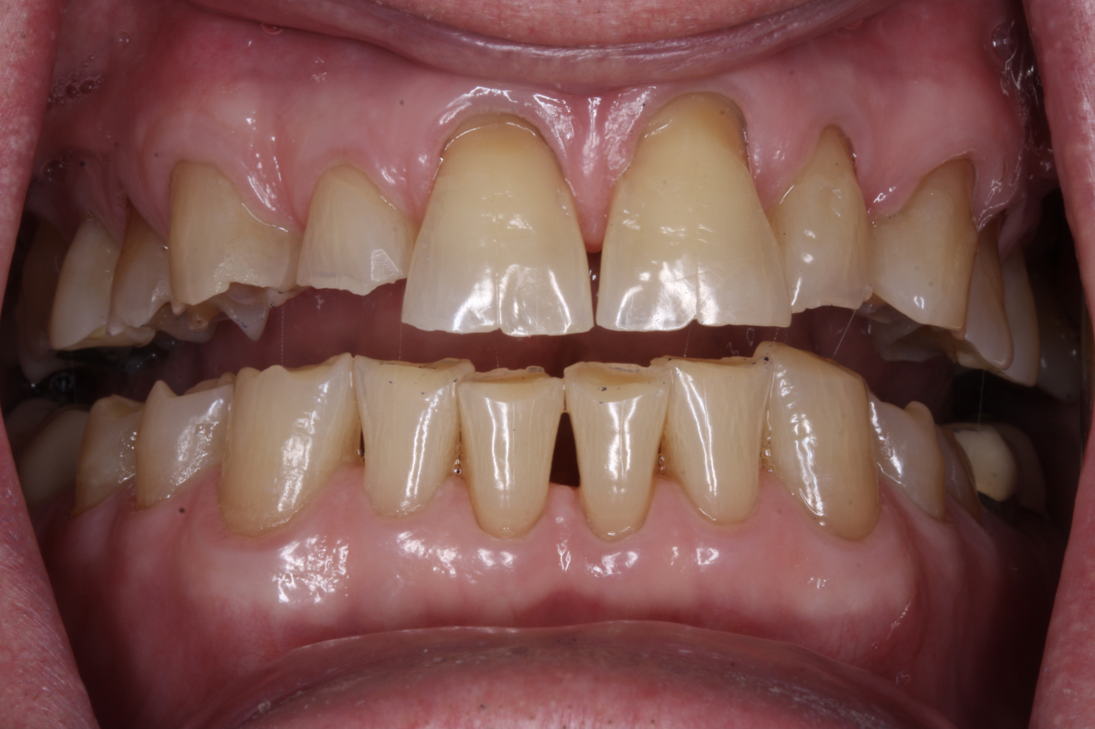
Syreskader på tænderne opstår, når tandemaljen gradvist nedbrydes af syre. Emaljen er det hårde, beskyttende lag på tænderne, og hvis det svækkes, bliver tænderne mere sårbare over for tandslid og misfarvninger. Skader på tænderne som følge af syreskader kan ikke genoprettes naturligt, da emaljen ikke kan regenerere. Derfor er det vigtigt at opdage syreskaderne tidligt og forebygge eller behandle for at undgå yderligere nedbrydning. Syreskader kan ramme både forsiden, bagsiden og tyggefladerne af tænderne, afhængigt af årsagen. Skaderne udvikler sig typisk langsomt, men kan have stor betydning for både tændernes funktion og udseende.
.webp)
Der kan være forskellige årsager til, at man får syreskader på tænderne:
De første tegn på syreskader er oftest svære at opdage, men det er vigtigt at være opmærksom på:
Uden behandling kan skaderne udvikle sig til smerter og i værste fald tab af tænder. Kontakt os i dag for vejledning.
Behandling af syreskader på tænderne afhænger af skadernes omfang. I de tidlige stadier kan fokus være på forebyggelse og beskyttelse af den tilbageværende emalje. Det kan omfatte brug af fluortandpasta og rådgivning om kost- og tandplejevaner.
Hvis syreskaderne er fremskredne, kan det være nødvendigt med restaurativ behandling. Det kan indebære plastfyldninger, der beskytter de udsatte områder, eller i sværere tilfælde tandkroner, der genopbygger tændernes struktur og funktion. Ved meget omfattende skader, hvor biddet er ændret, kan det kræve en mere kompleks behandling med rekonstruktion af biddet (bidhævning).
Det vigtigste for at undgå syreskader på tænderne er forebyggelse. Her er nogle tips til, hvad du selv kan gøre for at forebygge syreskader:
Hvis du har sygdomme, der medfører hyppig syreeksponering, er det vigtigt at få medicinsk behandling og rådgivning i samarbejde med din behandler.
Oplever du symptomer på syreskader? Bestil en tid til en grundig undersøgelse hos os. Vi hjælper dig med at forebygge, bremse udviklingen af skader og finde den rette behandling, så du kan bevare sunde og stærke tænder.

Hos Sehested Tandlægerne tilbyder vi en bred vifte af avancerede tandbehandlinger, der sikrer den bedste pleje for dine tænder og dit tandkød.
Vi inviterer til en eksklusiv aften i klinikken, hvor vi fortæller om mulighederne inden for kosmetisk plast, bidhævning og Invisalign – og hvad der faktisk giver mening, hvis man gerne vil forbedre sit smil.
Læs mere og udfyld formularen her for tilmelding.
Vi inviterer til en eksklusiv aften i klinikken, hvor vi fortæller om mulighederne inden for kosmetisk plast, bidhævning og Invisalign – og hvad der faktisk giver mening, hvis man gerne vil forbedre sit smil.
Læs mere og udfyld formularen her for tilmelding.