-->

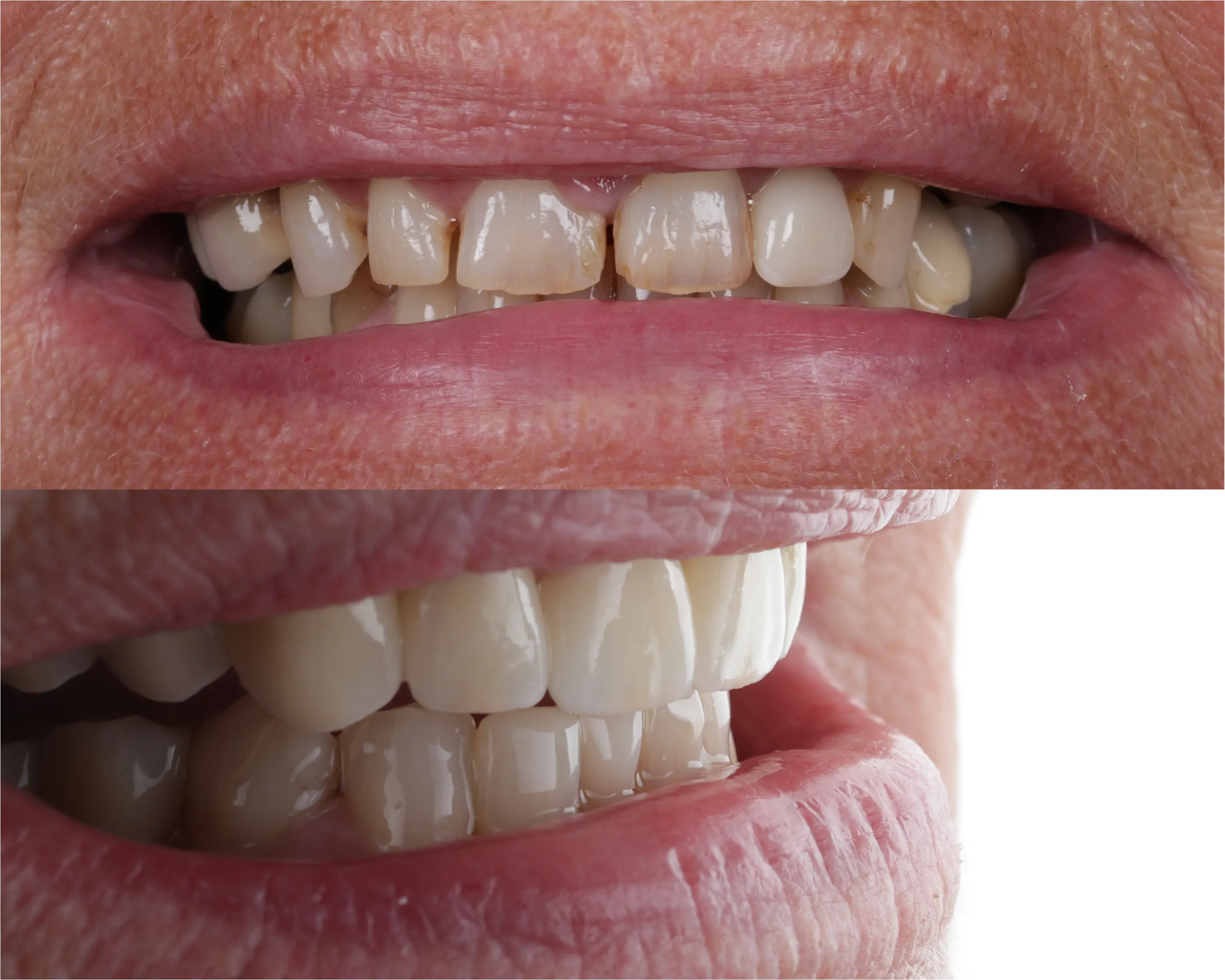
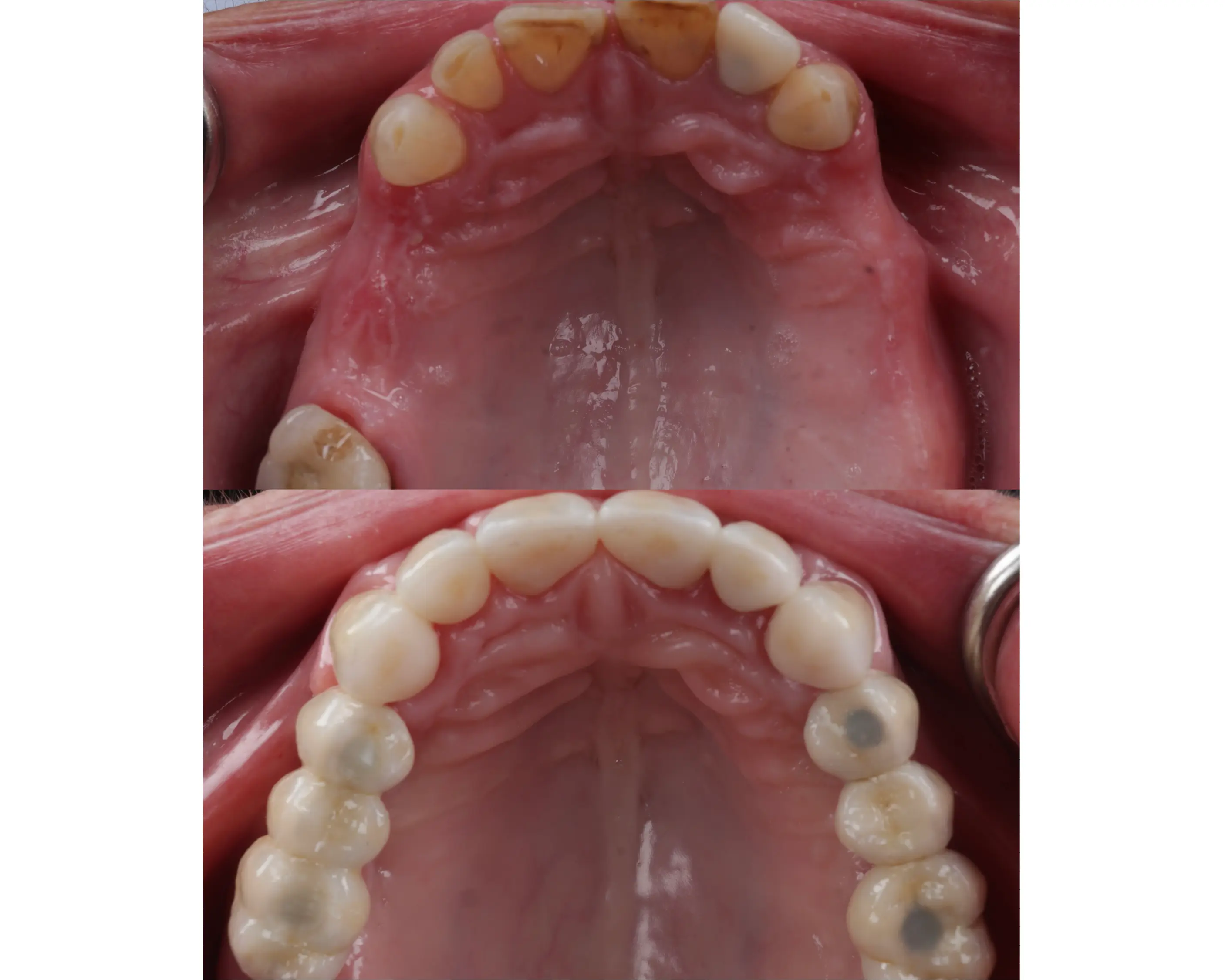
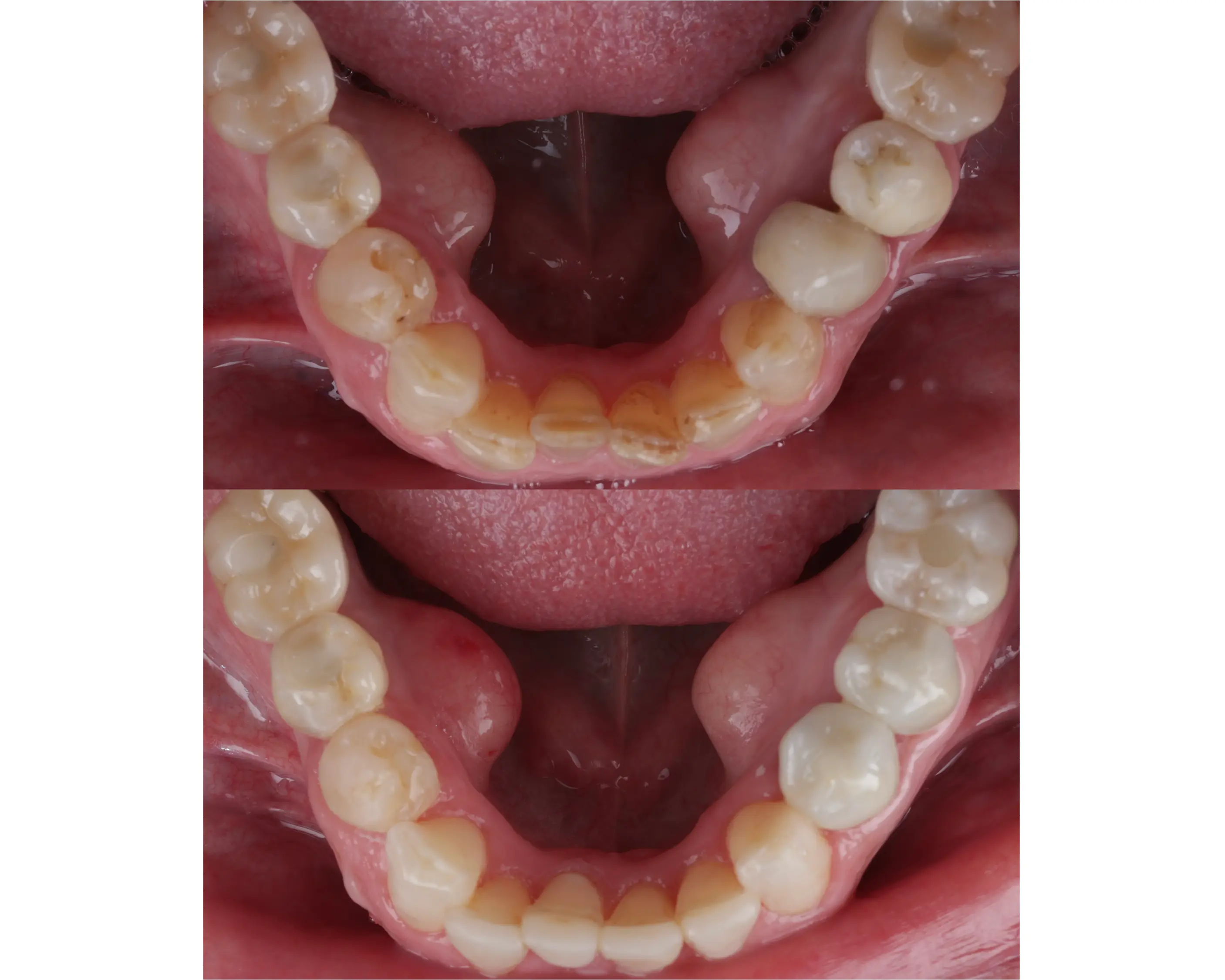
Denne 57-årige kvinde kom til os med et ønske om et smukkere smil og en mere velfungerende tyggeevne, da hun manglede flere tænder i overkæben. For at skabe balance og funktion blev biddet hævet med en kombination af plast og porcelæn. Derudover har vi lavet broer på implantater i begge sider af overkæben samt tre nye kroner i underkæben. Resultatet er et naturligt og harmonisk smil – og en markant forbedret tyggefunktion, der gør hverdagen lettere og mere behagelig.




Vi ved, at mange af vores patienter anbefaler os til familie, venner og kollegaer – og det betyder enormt meget for os. Derfor vil vi gerne sige tak og give lidt igen. Hver måned trækker vi lod om fem Phillips eltandbørster til en værdi af 699 DKK blandt alle, der har anbefalet os videre.
Når den, du har anbefalet, booker sin første tid, skal de blot skrive dit fulde navn i kampagnekode-feltet på tidsbestillingssiden - så er du automatisk med i lodtrækningen.
Tak for din tillid og for at hjælpe os med at give endnu flere et sundt smil.