-->
Har du brug for en akut tid? Så ring til os på tlf. 88169696, så vi kan hjælpe dig med en tid

Få en bideskinne på Frederiksberg, Østerbro og København K (ILLUM)
Oplever du spændte kæbemuskler, ømhed eller hovedpine, når du vågner? Det kan skyldes bruksisme (tandskæren), og her kan en RFS bideskinne være en god løsning. Læs her, hvordan en bideskinne fungerer, og hvornår den kan være den rette løsning for dig. Du kan få lavet en bideskinne (bidskinne) på alle vores 3 klinikker: Frederiksberg, Østerbro og København K (ILLUM).
Oplever du spændte kæbemuskler, ømhed eller hovedpine, når du vågner? Det kan skyldes bruksisme (tandskæren), og her kan en RFS bideskinne være en god løsning. Læs her, hvordan en bideskinne fungerer, og hvornår den kan være den rette løsning for dig. Du kan få lavet en bideskinne (bidskinne) på alle vores 3 klinikker: Frederiksberg, Østerbro og København K (ILLUM).
Oplever du spændte kæbemuskler, ømhed eller hovedpine, når du vågner? Det kan skyldes bruksisme (tandskæren), og her kan en RFS bideskinne være en god løsning. Læs her, hvordan en bideskinne fungerer, og hvornår den kan være den rette løsning for dig. Du kan få lavet en bideskinne (bidskinne) på alle vores 3 klinikker: Frederiksberg, Østerbro og København K (ILLUM).
Oplever du spændte kæbemuskler, ømhed eller hovedpine, når du vågner? Det kan skyldes bruksisme (tandskæren), og her kan en RFS bideskinne være en god løsning. Læs her, hvordan en bideskinne fungerer, og hvornår den kan være den rette løsning for dig. Du kan få lavet en bideskinne (bidskinne) på alle vores 3 klinikker: Frederiksberg, Østerbro og København K (ILLUM).
Oplever du spændte kæbemuskler, ømhed eller hovedpine, når du vågner? Det kan skyldes bruksisme (tandskæren), og her kan en RFS bideskinne være en god løsning. Læs her, hvordan en bideskinne fungerer, og hvornår den kan være den rette løsning for dig. Du kan få lavet en bideskinne (bidskinne) på alle vores 3 klinikker: Frederiksberg, Østerbro og København K (ILLUM).
Oplever du spændte kæbemuskler, ømhed eller hovedpine, når du vågner? Det kan skyldes bruksisme (tandskæren), og her kan en RFS bideskinne være en god løsning. Læs her, hvordan en bideskinne fungerer, og hvornår den kan være den rette løsning for dig. Du kan få lavet en bideskinne (bidskinne) på alle vores 3 klinikker: Frederiksberg, Østerbro og København K (ILLUM).
En bideskinne er en specialfremstillet akrylskinne, som beskytter tænderne mod slid og aflaster kæbemuskler og led. Den bruges oftest til at afhjælpe slid som følge af bruksisme (tandskæren) eller kæbespændinger, der kan føre til kæbesmerter og hovedpine. Når du får en bideskinne hos Sehested Tandlægerne, får du en specialfremstillet skinne, der er nøje tilpasset dit bid og beskytter dine tænder mod tandslid.
.webp)
En bideskinne er en specialfremstillet akrylskinne, som beskytter tænderne mod slid og aflaster kæbemuskler og led. Den bruges oftest til at afhjælpe slid som følge af bruksisme (tandskæren) eller kæbespændinger, der kan føre til kæbesmerter og hovedpine. Når du får en bideskinne hos Sehested Tandlægerne, får du en specialfremstillet skinne, der er nøje tilpasset dit bid og beskytter dine tænder mod tandslid.
.webp)
En bideskinne er en specialfremstillet akrylskinne, som beskytter tænderne mod slid og aflaster kæbemuskler og led. Den bruges oftest til at afhjælpe slid som følge af bruksisme (tandskæren) eller kæbespændinger, der kan føre til kæbesmerter og hovedpine. Når du får en bideskinne hos Sehested Tandlægerne, får du en specialfremstillet skinne, der er nøje tilpasset dit bid og beskytter dine tænder mod tandslid.
En bideskinne er en specialfremstillet akrylskinne, som beskytter tænderne mod slid og aflaster kæbemuskler og led. Den bruges oftest til at afhjælpe slid som følge af bruksisme (tandskæren) eller kæbespændinger, der kan føre til kæbesmerter og hovedpine. Når du får en bideskinne hos Sehested Tandlægerne, får du en specialfremstillet skinne, der er nøje tilpasset dit bid og beskytter dine tænder mod tandslid.
En bideskinne er en specialfremstillet akrylskinne, som beskytter tænderne mod slid og aflaster kæbemuskler og led. Den bruges oftest til at afhjælpe slid som følge af bruksisme (tandskæren) eller kæbespændinger, der kan føre til kæbesmerter og hovedpine. Når du får en bideskinne hos Sehested Tandlægerne, får du en specialfremstillet skinne, der er nøje tilpasset dit bid og beskytter dine tænder mod tandslid.
En bideskinne er en specialfremstillet akrylskinne, som beskytter tænderne mod slid og aflaster kæbemuskler og led. Den bruges oftest til at afhjælpe slid som følge af bruksisme (tandskæren) eller kæbespændinger, der kan føre til kæbesmerter og hovedpine. Når du får en bideskinne hos Sehested Tandlægerne, får du en specialfremstillet skinne, der er nøje tilpasset dit bid og beskytter dine tænder mod tandslid.

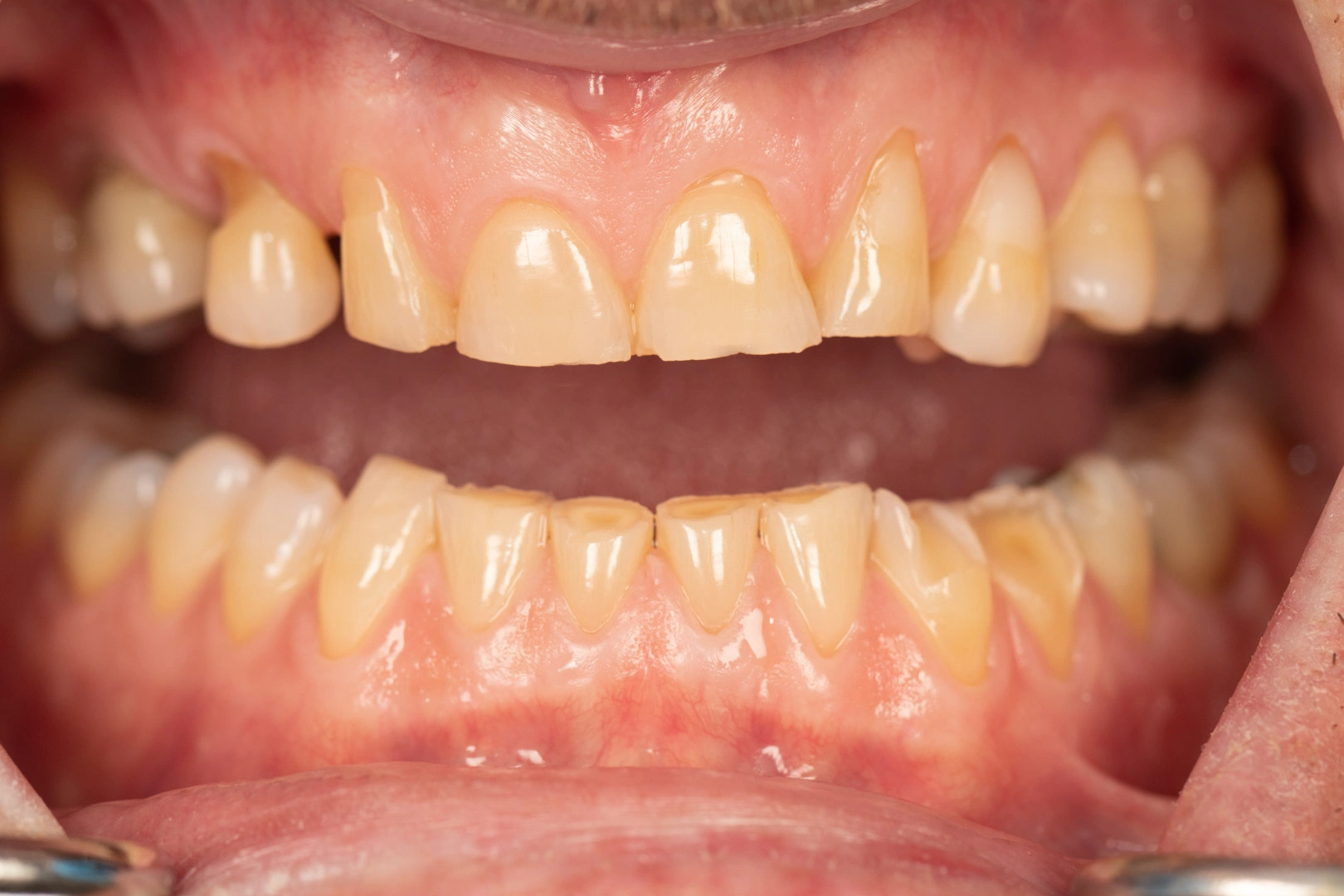
At skære tænder – også kaldet tandskæren eller brukisme – sker oftest ubevidst og typisk om natten. Årsagerne kan være mange: stress og spændinger i hverdagen, uhensigtsmæssigt bid eller ubalance i kæbemusklerne. Nogle oplever det også i forbindelse med søvnproblemer. Når tænderne presses hårdt mod hinanden gennem længere tid, kan det føre til slid på tænderne, ømme kæber, hovedpine og i nogle tilfælde skader på tænder eller fyldninger.

At skære tænder – også kaldet tandskæren eller brukisme – sker oftest ubevidst og typisk om natten. Årsagerne kan være mange: stress og spændinger i hverdagen, uhensigtsmæssigt bid eller ubalance i kæbemusklerne. Nogle oplever det også i forbindelse med søvnproblemer. Når tænderne presses hårdt mod hinanden gennem længere tid, kan det føre til slid på tænderne, ømme kæber, hovedpine og i nogle tilfælde skader på tænder eller fyldninger.
At skære tænder – også kaldet tandskæren eller brukisme – sker oftest ubevidst og typisk om natten. Årsagerne kan være mange: stress og spændinger i hverdagen, uhensigtsmæssigt bid eller ubalance i kæbemusklerne. Nogle oplever det også i forbindelse med søvnproblemer. Når tænderne presses hårdt mod hinanden gennem længere tid, kan det føre til slid på tænderne, ømme kæber, hovedpine og i nogle tilfælde skader på tænder eller fyldninger.
At skære tænder – også kaldet tandskæren eller brukisme – sker oftest ubevidst og typisk om natten. Årsagerne kan være mange: stress og spændinger i hverdagen, uhensigtsmæssigt bid eller ubalance i kæbemusklerne. Nogle oplever det også i forbindelse med søvnproblemer. Når tænderne presses hårdt mod hinanden gennem længere tid, kan det føre til slid på tænderne, ømme kæber, hovedpine og i nogle tilfælde skader på tænder eller fyldninger.
En bideskinne beskytter mellem over- og undermundens tænder, hvilket forhindrer, at tænderne skærer mod hinanden. Det mindsker slid på tænderne og aflaster kæbemusklerne. Vi ønsker at standse tandslid ved hjælp af en bideskinne, så tænderne beskyttes bedst muligt.
Ved at bruge en bideskinne kan man reducere risikoen for slid og beskadigelse af tænderne og lindre muskelspændinger i kæben og ansigtet. Samtidig forbedrer bideskinnen søvnkvaliteten ved at minimere forstyrrelser for både dig selv og din sengepartner.
En bideskinne kan hjælpe med:
En bideskinne beskytter mellem over- og undermundens tænder, hvilket forhindrer, at tænderne skærer mod hinanden. Det mindsker slid på tænderne og aflaster kæbemusklerne. Vi ønsker at standse tandslid ved hjælp af en bideskinne, så tænderne beskyttes bedst muligt.
Ved at bruge en bideskinne kan man reducere risikoen for slid og beskadigelse af tænderne og lindre muskelspændinger i kæben og ansigtet. Samtidig forbedrer bideskinnen søvnkvaliteten ved at minimere forstyrrelser for både dig selv og din sengepartner.
En bideskinne kan hjælpe med:
En bideskinne beskytter mellem over- og undermundens tænder, hvilket forhindrer, at tænderne skærer mod hinanden. Det mindsker slid på tænderne og aflaster kæbemusklerne. Vi ønsker at standse tandslid ved hjælp af en bideskinne, så tænderne beskyttes bedst muligt.
Ved at bruge en bideskinne kan man reducere risikoen for slid og beskadigelse af tænderne og lindre muskelspændinger i kæben og ansigtet. Samtidig forbedrer bideskinnen søvnkvaliteten ved at minimere forstyrrelser for både dig selv og din sengepartner.
En bideskinne kan hjælpe med:
En bideskinne beskytter mellem over- og undermundens tænder, hvilket forhindrer, at tænderne skærer mod hinanden. Det mindsker slid på tænderne og aflaster kæbemusklerne. Vi ønsker at standse tandslid ved hjælp af en bideskinne, så tænderne beskyttes bedst muligt.
Ved at bruge en bideskinne kan man reducere risikoen for slid og beskadigelse af tænderne og lindre muskelspændinger i kæben og ansigtet. Samtidig forbedrer bideskinnen søvnkvaliteten ved at minimere forstyrrelser for både dig selv og din sengepartner.
En bideskinne kan hjælpe med:
En bideskinne beskytter mellem over- og undermundens tænder, hvilket forhindrer, at tænderne skærer mod hinanden. Det mindsker slid på tænderne og aflaster kæbemusklerne. Vi ønsker at standse tandslid ved hjælp af en bideskinne, så tænderne beskyttes bedst muligt.
Ved at bruge en bideskinne kan man reducere risikoen for slid og beskadigelse af tænderne og lindre muskelspændinger i kæben og ansigtet. Samtidig forbedrer bideskinnen søvnkvaliteten ved at minimere forstyrrelser for både dig selv og din sengepartner.
En bideskinne beskytter mellem over- og undermundens tænder, hvilket forhindrer, at tænderne skærer mod hinanden. Det mindsker slid på tænderne og aflaster kæbemusklerne. Vi ønsker at standse tandslid ved hjælp af en bideskinne, så tænderne beskyttes bedst muligt.
Ved at bruge en bideskinne kan man reducere risikoen for slid og beskadigelse af tænderne og lindre muskelspændinger i kæben og ansigtet. Samtidig forbedrer bideskinnen søvnkvaliteten ved at minimere forstyrrelser for både dig selv og din sengepartner.
4.345 kr.
30 minutter
Mulighed for afbetaling

Udført af erfarne tandlæger
Et forløb med en bideskinne starter med en grundig vurdering hos din tandplejer og indebærer en række trin for at sikre den bedst mulige pasform og effekt. Her får du en oversigt over processen:

Når du besøger os, vil din tandplejer vurdere dine tænder for at afgøre, om du har behov for en bideskinne. Tandplejeren holder løbende øje med tegn på slid, men hvis du har bekymringer, er du altid velkommen til at kontakte os og høre om muligheden for en bideskinne. Du kan også booke en tid til en konsultation.

Hvis din tandplejer vurderer, at en bideskinne er den rette løsning for dig, vil der blive taget aftryk af dine tænder ved hjælp af en 3D-scanner. Aftrykket bruges til at fremstille en skræddersyet skinne, der passer perfekt til dine tænder og bid.

Dit aftryk sendes til en tandtekniker, hvor din bideskinne vil blive specialfremstillet. Det tager en lille uges tid, hvorefter skinnen er klar til dig. Når bideskinnen er færdig, får du den tilpasset, så vi sikrer, at skinnen sidder korrekt og er komfortabel.

Oftest skal man sove med skinnen hver nat, men for nogen patienter kan det også være nødvendigt at bruge den om dagen, hvis man har tendens til at spænde i kæberne. Efter nogle uger vil din tandplejer følge op på dit forløb for at sikre, at bideskinnen fungerer som den skal. Hvis det er nødvendigt, vil skinnen blive justeret for at forbedre effektiviteten eller din komfort.

Det er vigtigt, at du rengører din skinne regelmæssigt. Det gør du ved at skylle den i koldt vand og børste den blidt med tandbørsten. Det er vigtigt, at du ikke bruger tandpasta til at rengøre bideskinnen, da slibemidlet i tandpasta kan ridse din skinne. Du må også gerne rengøre skinnen med klar opvaskemiddel uden parfume.
Et forløb med en bideskinne starter med en grundig vurdering hos din tandplejer og indebærer en række trin for at sikre den bedst mulige pasform og effekt. Her får du en oversigt over processen:
Når du besøger os, vil din tandplejer vurdere dine tænder for at afgøre, om du har behov for en bideskinne. Tandplejeren holder løbende øje med tegn på slid, men hvis du har bekymringer, er du altid velkommen til at kontakte os og høre om muligheden for en bideskinne. Du kan også booke en tid til en konsultation.
Hvis din tandplejer vurderer, at en bideskinne er den rette løsning for dig, vil der blive taget aftryk af dine tænder ved hjælp af en 3D-scanner. Aftrykket bruges til at fremstille en skræddersyet skinne, der passer perfekt til dine tænder og bid.
Dit aftryk sendes til en tandtekniker, hvor din bideskinne vil blive specialfremstillet. Det tager en lille uges tid, hvorefter skinnen er klar til dig. Når bideskinnen er færdig, får du den tilpasset, så vi sikrer, at skinnen sidder korrekt og er komfortabel.
Oftest skal man sove med skinnen hver nat, men for nogen patienter kan det også være nødvendigt at bruge den om dagen, hvis man har tendens til at spænde i kæberne. Efter nogle uger vil din tandplejer følge op på dit forløb for at sikre, at bideskinnen fungerer som den skal. Hvis det er nødvendigt, vil skinnen blive justeret for at forbedre effektiviteten eller din komfort.
Det er vigtigt, at du rengører din skinne regelmæssigt. Det gør du ved at skylle den i koldt vand og børste den blidt med tandbørsten. Det er vigtigt, at du ikke bruger tandpasta til at rengøre bideskinnen, da slibemidlet i tandpasta kan ridse din skinne. Du må også gerne rengøre skinnen med klar opvaskemiddel uden parfume.
Der er behov for en bideskinne, hvis din tandplejer kan se, at du har slid på tændernes overflade eller hvis du døjer med smerter i kæben eller hovedpine. En bideskinne hjælper med at beskytte tænderne og aflaste kæben, hvilket kan forebygge smerter og yderligere slid.
Hvis du oplever nogle af følgende symptomer, kan du have brug for en bideskinne:

Der er behov for en bideskinne, hvis din tandplejer kan se, at du har slid på tændernes overflade eller hvis du døjer med smerter i kæben eller hovedpine. En bideskinne hjælper med at beskytte tænderne og aflaste kæben, hvilket kan forebygge smerter og yderligere slid.
Hvis du oplever nogle af følgende symptomer, kan du have brug for en bideskinne:

Der er behov for en bideskinne, hvis din tandplejer kan se, at du har slid på tændernes overflade eller hvis du døjer med smerter i kæben eller hovedpine. En bideskinne hjælper med at beskytte tænderne og aflaste kæben, hvilket kan forebygge smerter og yderligere slid.
Hvis du oplever nogle af følgende symptomer, kan du have brug for en bideskinne:
Der er behov for en bideskinne, hvis din tandplejer kan se, at du har slid på tændernes overflade eller hvis du døjer med smerter i kæben eller hovedpine. En bideskinne hjælper med at beskytte tænderne og aflaste kæben, hvilket kan forebygge smerter og yderligere slid.
Hvis du oplever nogle af følgende symptomer, kan du have brug for en bideskinne:
Der er behov for en bideskinne, hvis din tandplejer kan se, at du har slid på tændernes overflade eller hvis du døjer med smerter i kæben eller hovedpine. En bideskinne hjælper med at beskytte tænderne og aflaste kæben, hvilket kan forebygge smerter og yderligere slid.
Hvis du oplever nogle af følgende symptomer, kan du have brug for en bideskinne:
Der er behov for en bideskinne, hvis din tandplejer kan se, at du har slid på tændernes overflade eller hvis du døjer med smerter i kæben eller hovedpine. En bideskinne hjælper med at beskytte tænderne og aflaste kæben, hvilket kan forebygge smerter og yderligere slid.
Hvis du oplever nogle af følgende symptomer, kan du have brug for en bideskinne:
Selvom det kan virke fristende at vælge en billig bideskinne fra apoteket eller internettet, er der stor forskel på kvalitet, pasform og effekt. En specialfremstillet bideskinne fra tandlægen er designet ud fra en præcis afstøbning af dit tandsæt, hvilket sikrer optimal pasform og komfort. Det betyder, at skinnen sidder korrekt, bliver hvor den skal hele natten og fordeler trykket jævnt – hvilket er afgørende for at beskytte både tænder, kæbeled og muskulatur. En dårligt tilpasset standard-skinne kan i værste fald forværre gener som kæbespændinger og hovedpine eller slide forkert på tænderne. Derfor er en individuelt tilpasset bideskinne en investering i din langsigtede tandsundhed.
Selvom det kan virke fristende at vælge en billig bideskinne fra apoteket eller internettet, er der stor forskel på kvalitet, pasform og effekt. En specialfremstillet bideskinne fra tandlægen er designet ud fra en præcis afstøbning af dit tandsæt, hvilket sikrer optimal pasform og komfort. Det betyder, at skinnen sidder korrekt, bliver hvor den skal hele natten og fordeler trykket jævnt – hvilket er afgørende for at beskytte både tænder, kæbeled og muskulatur. En dårligt tilpasset standard-skinne kan i værste fald forværre gener som kæbespændinger og hovedpine eller slide forkert på tænderne. Derfor er en individuelt tilpasset bideskinne en investering i din langsigtede tandsundhed.
Selvom det kan virke fristende at vælge en billig bideskinne fra apoteket eller internettet, er der stor forskel på kvalitet, pasform og effekt. En specialfremstillet bideskinne fra tandlægen er designet ud fra en præcis afstøbning af dit tandsæt, hvilket sikrer optimal pasform og komfort. Det betyder, at skinnen sidder korrekt, bliver hvor den skal hele natten og fordeler trykket jævnt – hvilket er afgørende for at beskytte både tænder, kæbeled og muskulatur. En dårligt tilpasset standard-skinne kan i værste fald forværre gener som kæbespændinger og hovedpine eller slide forkert på tænderne. Derfor er en individuelt tilpasset bideskinne en investering i din langsigtede tandsundhed.
Selvom det kan virke fristende at vælge en billig bideskinne fra apoteket eller internettet, er der stor forskel på kvalitet, pasform og effekt. En specialfremstillet bideskinne fra tandlægen er designet ud fra en præcis afstøbning af dit tandsæt, hvilket sikrer optimal pasform og komfort. Det betyder, at skinnen sidder korrekt, bliver hvor den skal hele natten og fordeler trykket jævnt – hvilket er afgørende for at beskytte både tænder, kæbeled og muskulatur. En dårligt tilpasset standard-skinne kan i værste fald forværre gener som kæbespændinger og hovedpine eller slide forkert på tænderne. Derfor er en individuelt tilpasset bideskinne en investering i din langsigtede tandsundhed.
Selvom det kan virke fristende at vælge en billig bideskinne fra apoteket eller internettet, er der stor forskel på kvalitet, pasform og effekt. En specialfremstillet bideskinne fra tandlægen er designet ud fra en præcis afstøbning af dit tandsæt, hvilket sikrer optimal pasform og komfort. Det betyder, at skinnen sidder korrekt, bliver hvor den skal hele natten og fordeler trykket jævnt – hvilket er afgørende for at beskytte både tænder, kæbeled og muskulatur. En dårligt tilpasset standard-skinne kan i værste fald forværre gener som kæbespændinger og hovedpine eller slide forkert på tænderne. Derfor er en individuelt tilpasset bideskinne en investering i din langsigtede tandsundhed.
Selvom det kan virke fristende at vælge en billig bideskinne fra apoteket eller internettet, er der stor forskel på kvalitet, pasform og effekt. En specialfremstillet bideskinne fra tandlægen er designet ud fra en præcis afstøbning af dit tandsæt, hvilket sikrer optimal pasform og komfort. Det betyder, at skinnen sidder korrekt, bliver hvor den skal hele natten og fordeler trykket jævnt – hvilket er afgørende for at beskytte både tænder, kæbeled og muskulatur. En dårligt tilpasset standard-skinne kan i værste fald forværre gener som kæbespændinger og hovedpine eller slide forkert på tænderne. Derfor er en individuelt tilpasset bideskinne en investering i din langsigtede tandsundhed.

Hos os har du mulighed for at dele betalingen op, hvis du ønsker det. En bideskinne er en vigtig investering i din tandsundhed, og vi ved, at det økonomiske aspekt kan spille en rolle. Derfor tilbyder vi fleksible finansieringsløsninger, hvor du kan betale i mindre rater over tid. På den måde kan du få den nødvendige behandling, uden at det hele skal betales på én gang.

Hos os har du mulighed for at dele betalingen op, hvis du ønsker det. En bideskinne er en vigtig investering i din tandsundhed, og vi ved, at det økonomiske aspekt kan spille en rolle. Derfor tilbyder vi fleksible finansieringsløsninger, hvor du kan betale i mindre rater over tid. På den måde kan du få den nødvendige behandling, uden at det hele skal betales på én gang.
Hos os har du mulighed for at dele betalingen op, hvis du ønsker det. En bideskinne er en vigtig investering i din tandsundhed, og vi ved, at det økonomiske aspekt kan spille en rolle. Derfor tilbyder vi fleksible finansieringsløsninger, hvor du kan betale i mindre rater over tid. På den måde kan du få den nødvendige behandling, uden at det hele skal betales på én gang.
Hos os har du mulighed for at dele betalingen op, hvis du ønsker det. En bideskinne er en vigtig investering i din tandsundhed, og vi ved, at det økonomiske aspekt kan spille en rolle. Derfor tilbyder vi fleksible finansieringsløsninger, hvor du kan betale i mindre rater over tid. På den måde kan du få den nødvendige behandling, uden at det hele skal betales på én gang.
Har du brug for en bideskinne, kan du få hjælp på vores tandlægeklinikker på Frederiksberg, Østerbro og i København K. Vi gør det nemt at komme i gang med behandlingen, uanset hvor det passer dig bedst. En bideskinne tilpasses individuelt til dit bid, så den aflaster tænder og kæbe mest muligt – og du får samme grundige tilgang og kvalitet på alle vores klinikker. Med centrale lokationer er det let at finde en tid tæt på dig.
Har du brug for en bideskinne, kan du få hjælp på vores tandlægeklinikker på Frederiksberg, Østerbro og i København K. Vi gør det nemt at komme i gang med behandlingen, uanset hvor det passer dig bedst. En bideskinne tilpasses individuelt til dit bid, så den aflaster tænder og kæbe mest muligt – og du får samme grundige tilgang og kvalitet på alle vores klinikker. Med centrale lokationer er det let at finde en tid tæt på dig.
Har du brug for en bideskinne, kan du få hjælp på vores tandlægeklinikker på Frederiksberg, Østerbro og i København K. Vi gør det nemt at komme i gang med behandlingen, uanset hvor det passer dig bedst. En bideskinne tilpasses individuelt til dit bid, så den aflaster tænder og kæbe mest muligt – og du får samme grundige tilgang og kvalitet på alle vores klinikker. Med centrale lokationer er det let at finde en tid tæt på dig.
Har du brug for en bideskinne, kan du få hjælp på vores tandlægeklinikker på Frederiksberg, Østerbro og i København K. Vi gør det nemt at komme i gang med behandlingen, uanset hvor det passer dig bedst. En bideskinne tilpasses individuelt til dit bid, så den aflaster tænder og kæbe mest muligt – og du får samme grundige tilgang og kvalitet på alle vores klinikker. Med centrale lokationer er det let at finde en tid tæt på dig.
Har du brug for en bideskinne, kan du få hjælp på vores tandlægeklinikker på Frederiksberg, Østerbro og i København K. Vi gør det nemt at komme i gang med behandlingen, uanset hvor det passer dig bedst. En bideskinne tilpasses individuelt til dit bid, så den aflaster tænder og kæbe mest muligt – og du får samme grundige tilgang og kvalitet på alle vores klinikker. Med centrale lokationer er det let at finde en tid tæt på dig.
Har du brug for en bideskinne, kan du få hjælp på vores tandlægeklinikker på Frederiksberg, Østerbro og i København K. Vi gør det nemt at komme i gang med behandlingen, uanset hvor det passer dig bedst. En bideskinne tilpasses individuelt til dit bid, så den aflaster tænder og kæbe mest muligt – og du får samme grundige tilgang og kvalitet på alle vores klinikker. Med centrale lokationer er det let at finde en tid tæt på dig.
Leif henvendte sig med ønsket om at få genopbygget sit bid.


.webp)

Leif henvendte sig med ønsket om at få genopbygget sit bid.

En bideskinne en skinne, som beskytter tænderne mod tandslid og kæbespændinger forårsaget af bruksisme (tandskæren) eller tandpres. Den afhjælper belastningen på kæben og kan reducere smerter og hovedpine forårsaget af disse problemer.
En blød bideskinne er lavet af et fleksibelt materiale, der giver lidt efter, når du tygger på den. Den er typisk mere komfortabel i starten og kan være den rette for dig, hvis du har mild til moderat bruksisme eller tandpres. En hård bideskinne er lavet af et stivere materiale, der giver mere fast støtte til tænderne og kæben. Denne type bideskinne er mere holdbar og er typisk egnet til patienter, der har svær bruksisme. Den beskytter tænderne bedre mod tandslid og kan hjælpe med at forhindre yderligere skader.
Hvis du oplever symptomer som ømhed i kæben, hovedpine, synlige tandskader, kliklyde i kæben eller hvis du har tendens til at skære tænder om natten, kan en bideskinne være en effektiv løsning.
Din tandplejer vil vurdere, om du har brug for en bideskinne. Hvis det er tilfældet, scanner tandplejeren dine tænder med en 3D-scanner, hvorefter en skræddersyet bideskinne specialfremstilles til dig.
Ja, du bør bruge bideskinnen hele natten, medmindre din tandplejer har anbefalet andet.
Hvis du føler mindre ømhed i kæben, færre hovedpiner eller bemærker, at dit tandslid er reduceret, er det tegn på, at bideskinnen virker som den skal.
En bideskinne kan holde i 1-3 år afhængigt af brug og slid. Hvis den bliver slidt eller beskadiget, skal den udskiftes. Det er en god idé at medbringe din bideskinne til dine regelmæssige tandeftersyn, hvor din tandplejer vil vurdere, hvornår det er tid til at få en ny.
Regelmæssig rengøring af din bideskinne er vigtig for at holde bakterier væk. Du renser din bideskinne ved at bruge koldt vandt og børste den blidt med din tandbørste. Det er vigtigt, at du ikke bruger tandpasta, da slibemidlet i tandpastaen kan ridse bideskinnen.
De fleste oplever, at bideskinnen er behagelig at bruge, efter de har vænnet sig til den. Hvis du oplever ubehag, bør du kontakte din tandplejer, så skinnen kan blive justeret.
Det afhænger af dine symptomer og behov. I starten kan du have brug for at bruge den hver nat, indtil symptomer som ømhed i kæben, hovedpine eller tandslid er under kontrol. Hvis du har tandskæren (bruksisme) eller alvorligt tandpres, kan det være nødvendigt at bruge bideskinnen i længere tid – måske i flere år – for at beskytte tænderne og undgå yderligere skader. Din tandplejer vil løbende vurdere, om bideskinnen stadig er nødvendig for dig.
En tandlægefremstillet bideskinne tilpasses præcist til din mund via en scanning, hvilket sikrer optimal pasform og aflastning af kæbeled og muskulatur. Køber du en bideskinne på apoteket, risikerer du, at den ikke passer præcist til dit tandsæt, hvilket kan føre til kæbespændinger og bidproblemer.

Vi inviterer til en eksklusiv aften i klinikken, hvor vi fortæller om mulighederne inden for kosmetisk plast, bidhævning og Invisalign – og hvad der faktisk giver mening, hvis man gerne vil forbedre sit smil.
Læs mere og udfyld formularen her for tilmelding.